ИЗМЕНЕНИЕ МИКРОБИОТЫ КИШЕЧНИКА ПРИ НАРУШЕНИЯХ ОБМЕНА ВЕЩЕСТВ И АЛКОГОЛЬНОМ ГЕПАТИТЕ
ОБЗОР ЛИТЕРАТУРЫ
Проф. Маркку Вутилайнен (Markku Voutilainen)
Медицинский факультет Университета Турку; Университетская больница, отделение гастроэнтерологии, Турку, Финляндия
Раздел для широкой публики
Найдите здесь свое выделенное местоen_sources_title
en_sources_text_start en_sources_text_end
Делиться - значит заботиться
Возможно, эта тема заинтересует ваших коллег. Почему бы не поделиться ею?
Разделы

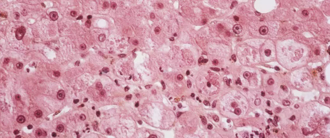
Alcoholic hepatitis. Light micrograph of a section through a liver affected by hepatitis (inflammation of the liver) caused by excessive alcohol intake.
Об этой статье
Автор
Gut microbiome fermentation determines the efficacy of exercise for diabetes prevention
[Способность кишечного микробиома к фермен- тации определяет эффективность физической активности как способа профилактики сахарного диабета]
Влияние физической нагрузки на кишечную микробиоту изучали у мужчин с предиабетом. Реакция на физическую нагрузку характеризовалась снижением уровня инсулина натощак и снижением инсулинорезистентности (HOMA-IR), тогда как в случае отсутствия такой реакции соответствующие показатели оставались неизменными или даже ухудшались. Физическая нагрузка приводила к преобладанию представителей родов Firmicutes, Bacteroides, Proteobacteria. Изменение состава микробиома кишечника коррелировало с уменьшением HOMA-IR. Синтез ДНК, метаболизм аминокислот (АК), синтез КЦЖК усиливались у тех, кто отвечал на действие физической нагрузки. В случае отсутствия такого ответа наблюдалось переключение с ферментации АК на продукцию кишечных газов и вредных соединений, что способствовало усилению инсулинорезистентности. Увеличение содержания КЦЖК в сыворотке крови, уменьшение содержания АК с разветвленной цепью и ароматических АК были обнаружены только при наличии ответа. КЦЖК играют благоприятную роль в обмене энергии и глюкозы, в то время как увеличение количества АК с разветвленной цепью коррелирует с поддержанием инсулинорезистентности. В заключение следует отметить, что при наличии ответа на физическую нагрузку микробиом кишечника начинал активно продуцировать КЦЖК при одновременном усилении расщепления АК с разветвленной цепью, в то время как в отсутствие подобной реакции отмечалось образование метаболически вредных соединений.
Bacteriophage targeting of gut bacterium attenuates alcoholic liver disease
[Таргетное применение бактериофага уменьшает симптомы алкоголь- ной болезни печени]
У пациентов с алкогольным гепатитом отмечается повышенный уровень Enterococcus faecalis (EF) в кале, при этом EF выявляется у 80% пациентов с данной патологией. Безмикробным мышам, находящимся на этанольной диете, вводили цитолизин-положительную (CL+) фекальную микробиоту с EF, полученную от пациентов с алкогольным гепатитом. У этих мышей, развивалось более тя- желое этанол-ассоциированное поражение печени. Мышам, получавшим этанольную диету, и у которых отмечался повышенный рост кишечных энтерококков, давали бактериофаги, лизирующие CL + EF. У них поражение печени было выражено в меньшей степени. Таким образом, терапия бактериофагами может замедлить прогрессирование алкогольной болезни печени, вызванной CL + EF, а также улучшает прогноз при тяжелом алкогольном гепатите.