Papel del epitelio intestinal y de la respuesta inmunitaria innata
La disbiosis observada en las EIIC podría estar relacionada con una alteración del epitelio intestinal, incapaz de ejercer su función de barrera, así como con un desajuste de la respuesta inmunitaria innata local que favorecería la inflamación. Esta sección está dedicada al papel de los péptidos antimicrobianos sospechosos de participar en este proceso.
Espacio para el público general
Encuentra aquí tu espacio dedicadoen_sources_title
en_sources_text_start en_sources_text_end
Capítulos

Intestinal epithelium
Acerca de este artículo
La alteración de la barrera intestinal que se observa en pacientes con EIIC podría explicar la fisiopatología de la disbiosis: no solo esta barrera mecánica estaría alterada sino también su primera línea de defensa inmunitaria.
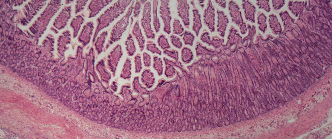
Además del papel que tiene en la absorción de iones, agua y otros nutrientes, la barrera intestinal sirve de protección e impide la entrada de bacterias en la luz intestinal. Sin embargo, su permeabilidad aumenta en las fases agudas de la enfermedad de Crohn (EC), lo que favorece la translocación bacteriana a través de la mucosa y la inflamación local5
Función de la barrera intestinal
Una posible explicación de este fenómeno es la alteración de las uniones estrechas o cadherinas del epitelio intestinal (glucoproteínas que tienen un papel clave en la adherencia entre células) y la implicación de ciertos factores de transcripción11 relacionados con la regeneración epitelial. Los otros mecanismos mencionados se refieren al moco intestinal, cuyo espesor consigue mantener alejadas a las bacterias patógenas y cuya abundancia disminuye considerablemente en pacientes con EIIC. Este fenómeno podría deberse a la alteración de las células caliciformes productoras de moco cuya alteración es capaz de inducir el desarrollo de colitis en modelo murinos; en pacientes con EC, también podría deberse a la disfunción de las células de Paneth ubicadas en el fondo de las criptas del intestino delgado y conocidas por su participación en la homeostasis y su papel de defensa de la mucosa intestinal a través de la secreción de antimicrobianos5,11.
Primera línea de defensa del sistema inmunitario
La literatura científica también menciona diversos mecanismos que implican a la inmunidad innata, y más concretamente a las células dendríticas, macrófagos, células linfoides innatas y neutrófilos. Estas células, que completan el sistema descrito anteriormente, actúan como primera línea de defensa del sistema inmunitario. En el intestino de personas sanas, los macrófagos se encuentran en un estado de hiporreactividad (proliferación y actividad reducidas) y pueden producir citoquinas antiinflamatorias11. En cambio, en el paciente con EIIC, el desequilibrio de las poblaciones celulares dedicadas a la inmunidad innata se asocia con diversos fenómenos11: el paso de bacterias a través de la mucosa, ahora permeable, debido a una disminución de la actividad de los macrófagos y a un fallo en el reclutamiento de neutrófilos; un proceso inflamatorio inducido por grandes cantidades de citoquinas proinflamatorias (TNF-α e IL-6) producidas por macrófagos específicos; y por último, el reclutamiento de linfocitos T inflamatorios mediante la acumulación de células dendríticas que inducen la respuesta inmunitaria adaptativa.

